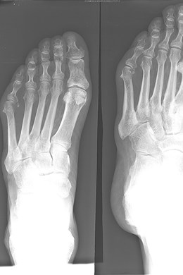
Een bunionette is een pijnlijk uitstekende knobbel net voor de kleine teen.




Klachten
Het is een pijnlijke knobbel waarbij vaak eeltvorming optreedt. Soms gaat dit gepaard met een kleine teen die over of onder de 4de teen buigt. Schoenen worden hierdoor moeilijker verdragen.
Oorzaken
Die bunionette ontstaat meestal door een lichte scheefstand van het vijfde middenvoetsbeentje en overdruk van te smal schoeisel.


Behandelingsopties
De belangrijkste behandeling bestaat uit goed schoeisel eventueel aangevuld met steunzolen. Bij ernstige pijnklachten of last kan een ingreep wenselijk zijn. Via een incisie van 2 à 3 mm brengen we een klein boortje in. We zagen hiermee een middenvoetsbeentje door, om de voet wat smaller te maken.
Op die manier verdwijnt de uitstekende pijnlijke knobbel.
Nazorg
De eerste dagen zijn hoogstand en niet steunen belangrijk om de genezing goed op gang te laten komen. Bijkomend dient een speciale verbandschoen (soort sandaal) gedragen te worden gedurende 5 à 6 weken.
