

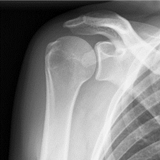
De gewone of anatomische prothese is een oplossing voor een versleten of artrotische schouder waarbij enkel het kraakbeen kapot is en de pezen volledig intact.
Bij deze prothese worden de kraakbenige oppervlaktes vervangen door metaal en kunststof.
De beslissing over te gaan tot een operatie wordt genomen als de pijn in die mate erg en invaliderend wordt bij een maximale behandeling met medicatie en eventuele kinesitherapie en inspuitingen.
De ingreep verloopt onder een algemene verdoving in combinatie met een regionale verdoving die ervoor zorgt dat de patiënt zonder pijn ontwaakt en zonder pijn is de eerstvolgende 20 uur. Zelfs nadien kan dit type plaatselijke verdoving nogmaals herhaald worden.
Tijdens de operatie ligt de patiënt in een halfzittende houding, de zogenaamde strandzetelpositie, beach-chair.
De incisie ligt aan de voorzijde.
Bij deze ingreep moeten we in de schouder geraken. De pezen zijn intact. Aan de voorzijde moet een toegang geforceerd worden door de subscapularis door te nemen of door zijn aanhechtingspunt los te maken. Hoe dan ook, in beide gevallen dient hiermee in de revalidatie rekening gehouden te worden. De hechting of fixatie dient beschermd te worden gedurende een vijftal weken, wat resulteert in een verband voor die periode en enkel passieve bewegingen.
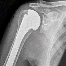
Verder worden tijdens de ingreep de andere pezen gespaard en de gewrichtsoppervlaktes vervangen door een polyethyleen pannetje dat wordt gecementeerd en een nieuwe bol, bestaande uit metaal die wordt vastgekneld in de vroegere bol of op een steel die gefixeerd wordt in het bot.
De hospitalisatie duurt een drietal dagen en de revalidatie een drietal maanden.
In de periode na de ingreep volgt kinesitherapie tijdens de hospitalisatie en bij de thuiskinesitherapeut. Even belangrijk is de hoeveelheid oefeningen die gedaan worden thuis door een eigen oefenschema.
De risico’s zin dezelfde als bij een omgekeerde prothese.
